Tel. 05281/10 000

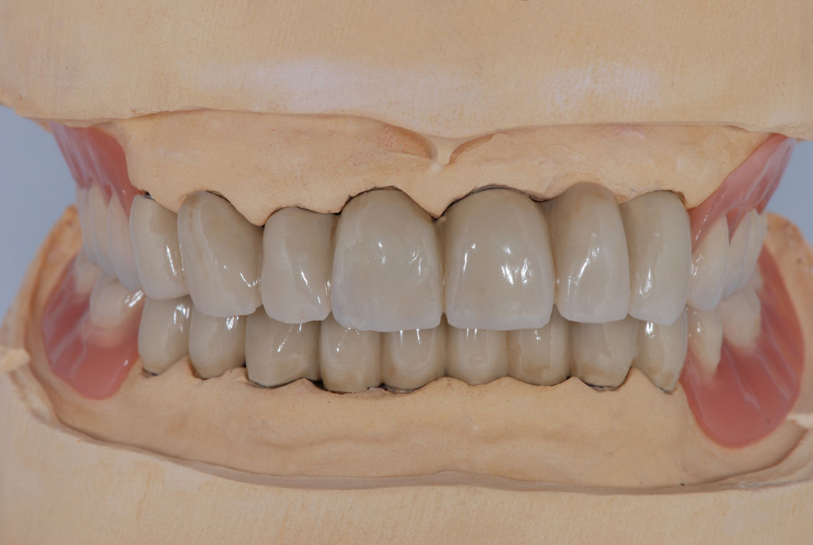
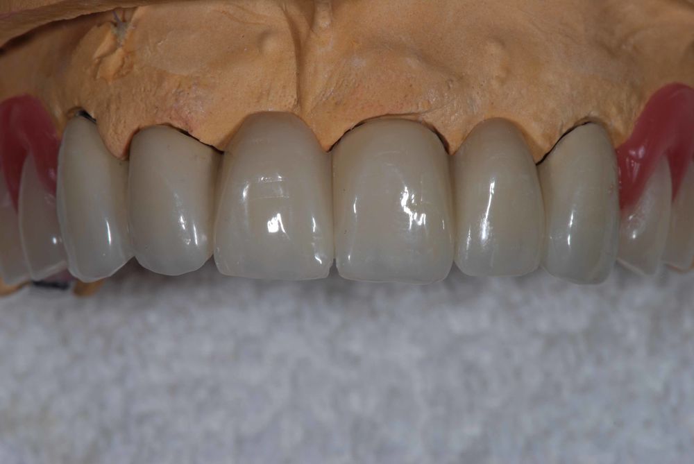
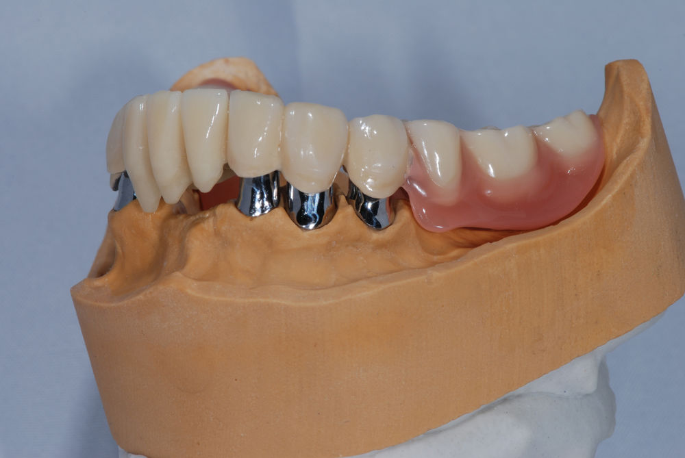
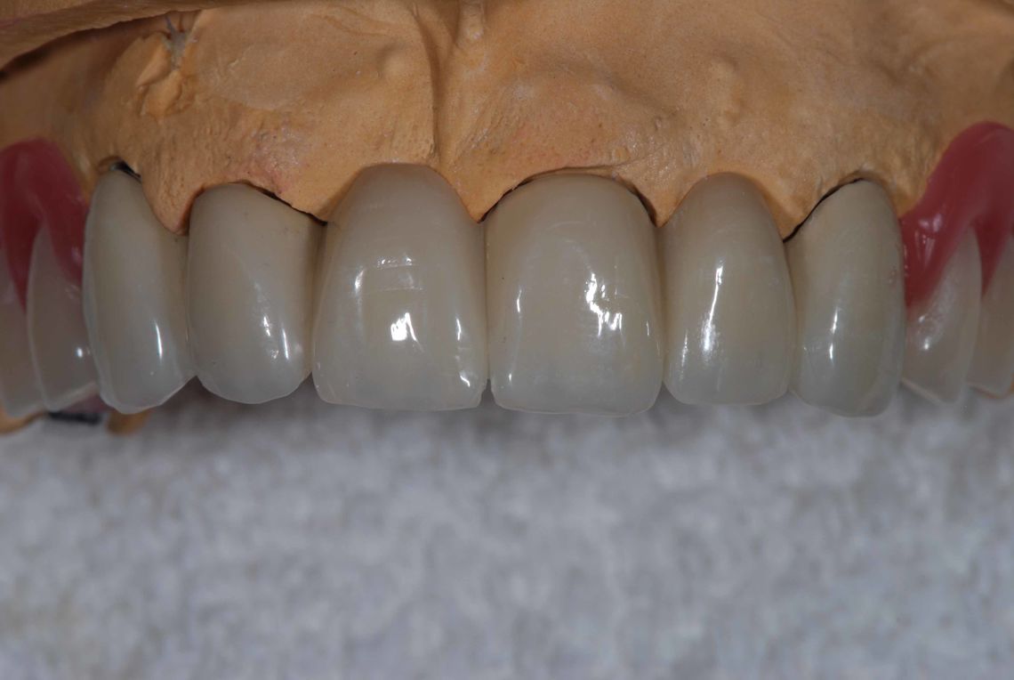
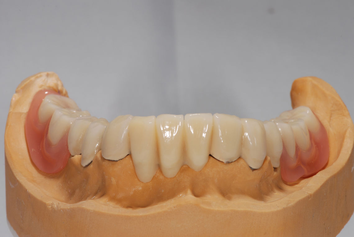
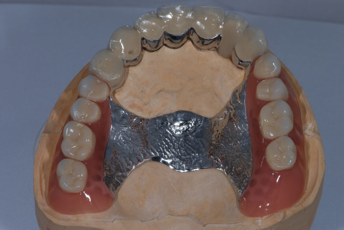
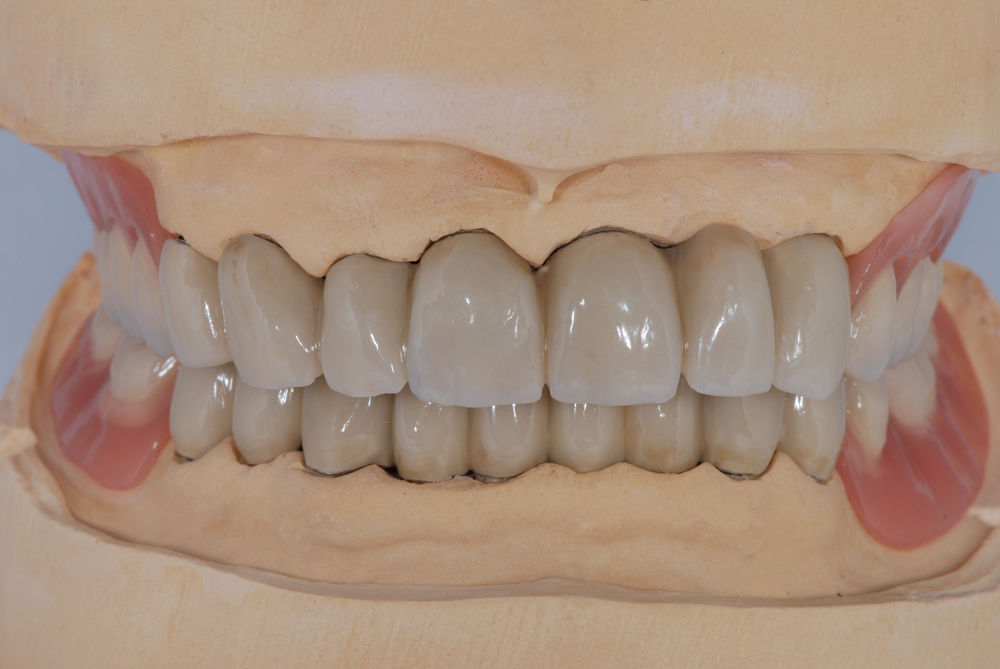
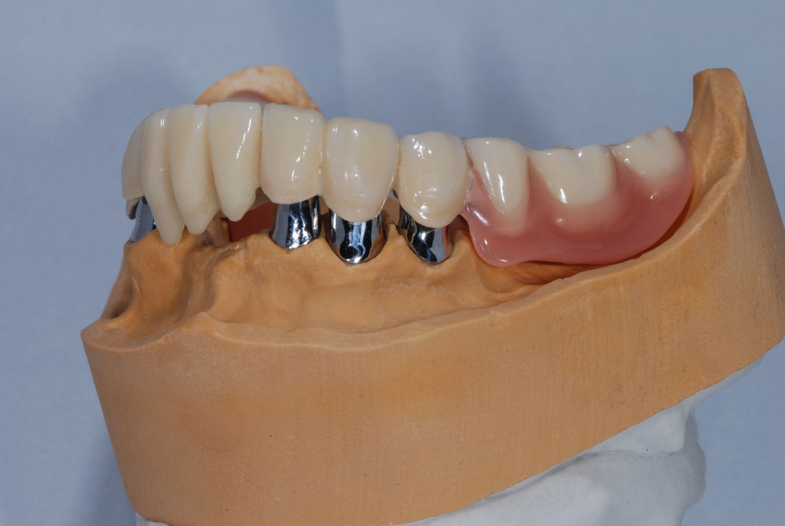
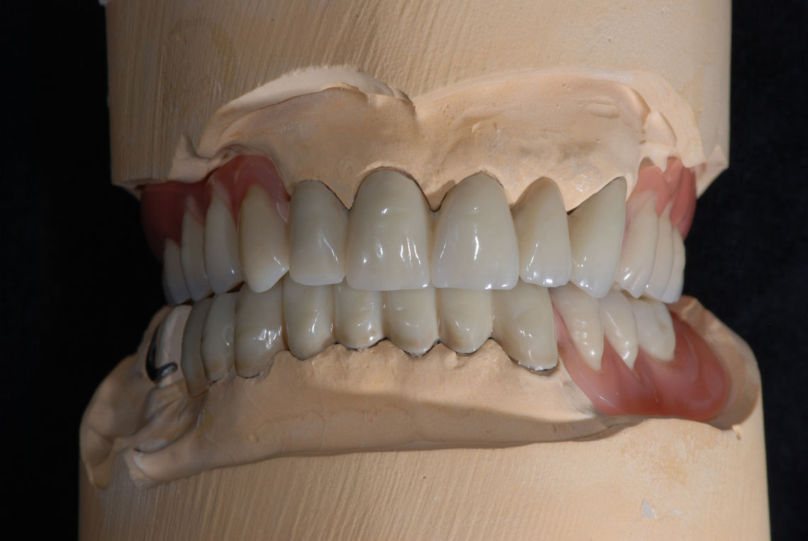
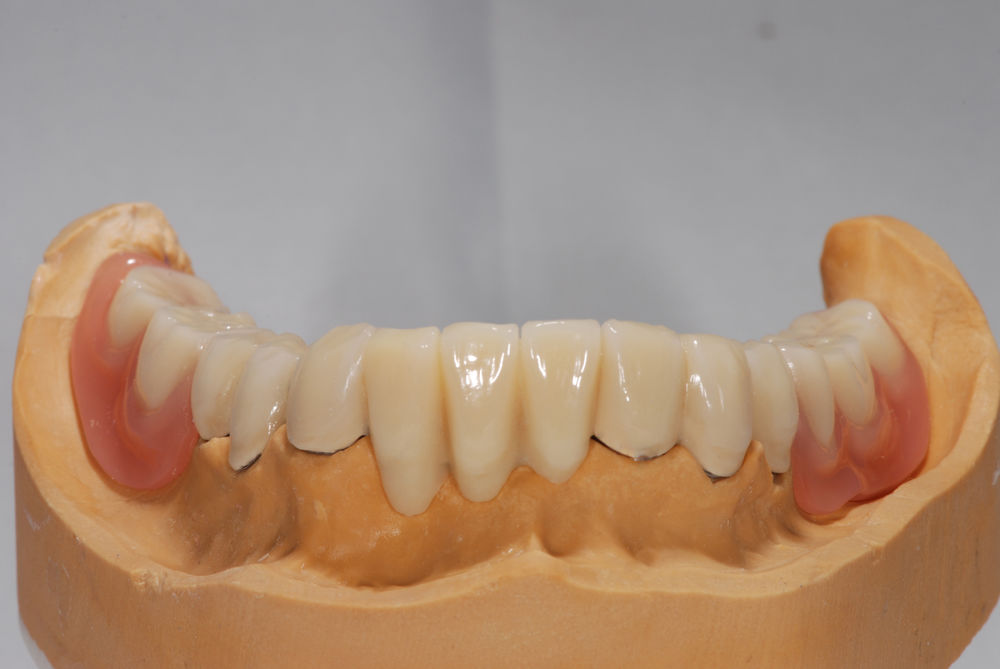
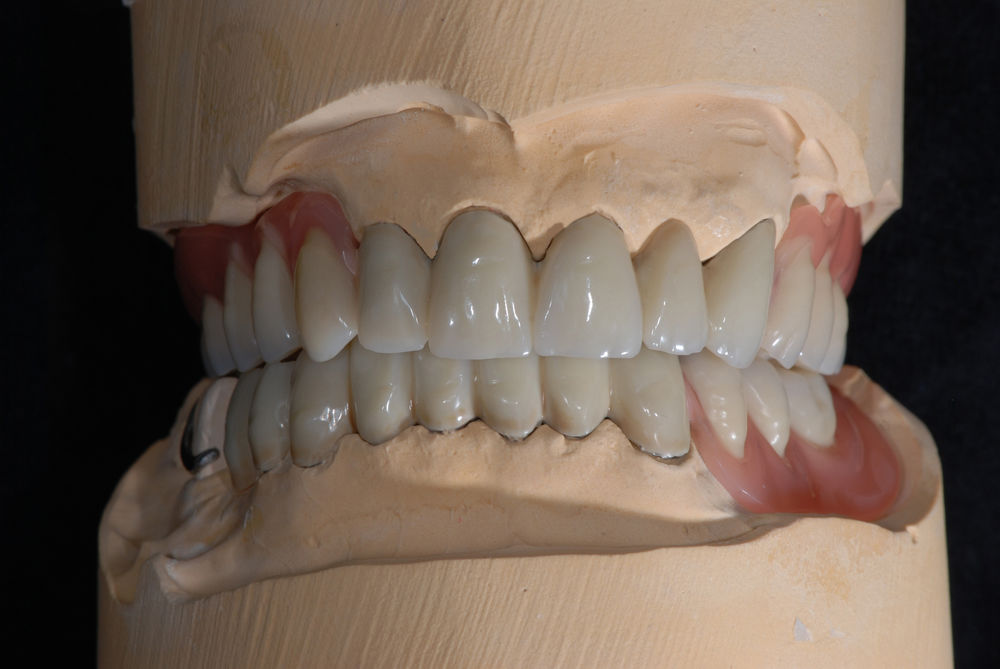
Seit bereits über 20 Jahren haben wir in der Herstellung von Teleskopprothesen aus der Legierung Chrom-Cobalt grosse Erfahrung. Durch eine spezielle Gußtechnik und ein besonderes Herstellungsverfahren können wir auf die Verwendung von teurem Zahngold verzichten. Es entfallen die hohen Kosten für Goldlegierungen, und es ensteht somit eine Ersparnis von bis zu 90% pro Krone!

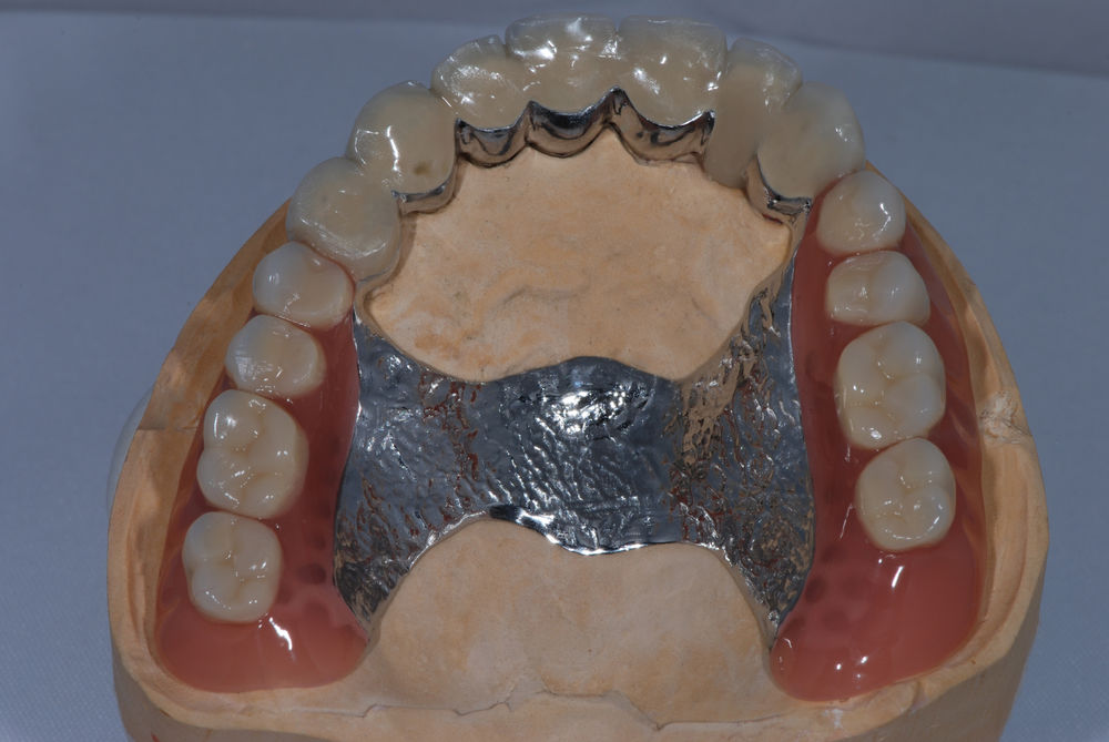
Zudem ist diese Chrom-Cobalt-Legierung viel härter als Gold, und man kann auf einen lästigen Metallbügel zur Stabilisierung verzichten. Natürliche Ästhetik durch grazile Gestaltung der Kronen, Gaumenfreiheit ohne Verbindungsbügel, kein Materialmix im Mund und Langlebigkeit sind die Eigenschaften unserer Teleskopprothesen.