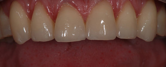
Rekonstruktion nach Bruxismus
Aufgrund der steigenden Anzahl von Patienten mit nicht-kariösen Defekten und längeren Funktionszeiten der Zähne haben sich die Anforderungen an die restaurative Zahnmedizin verändert. Menschen, welche mit durch Dysfunktionen verursachten Schmerzen zu Ihnen kommen, haben oft schon einen langen Leidensweg hinter sich.
Hier können Sie mit Hilfe eines Physiotherapeuten und dem Dental-Labor in interdisziplinärer Zusammenarbeit helfen. Schienentherapie, Physiotherapie, analytisches Wax-up, ästhetische und funktionelle Evaluierung sind der Weg zu einem erfolgreichen Behandlungsergebnis . Nach der Materialauswahl erfolgt die Präparation, oft auch nur minimalinvasiv. Defektorientierte vollkeramische Therapieansätze und Versorgungen sind Standard in unserem Labor.